CHIRURGIA IMPLANTARE
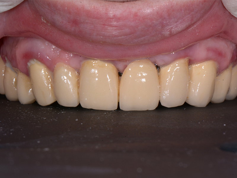
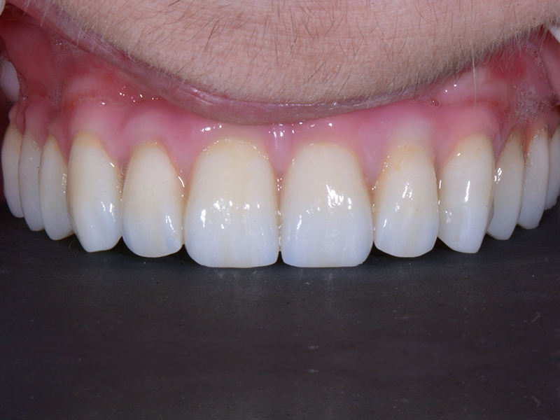
Il sorriso prima e dopo la Chirurgia Implantare
Servizi
Chirurgia Implantare












Interventi per ogni tipo di problema
Siamo in grado di gestire qualsiasi problema dentale, dalla sostituzione di un singolo dente alla riabilitazione completa dell’intera arcata dentale.
Ambienti accoglienti e rilassanti
I nostri studi sono progettati per offrirti un’esperienza rilassante. Disponiamo di una sala chirurgica dedicata esclusivamente al tuo intervento e di una sala relax privata per un post-operatorio sereno, nel contesto di un day hospital.
Tecnologie all'avanguardia
Utilizziamo strumentazioni all’avanguardia, come la TAC 3D e scanner digitali, per assicurare interventi sicuri e tempi di recupero rapidi.
Protesi progettate digitalmente
Le nostre protesi, dalla singola corona all’intera arcata, sono progettate digitalmente e realizzate con i materiali più adatti al tuo caso specifico.
Igiene e controlli
Offriamo programmi dedicati al controllo e all’igiene di impianti e protesi per garantirne la durata nel tempo.
Pagamenti dilazionati e niente brutte sorprese
Proponiamo soluzioni di pagamento dilazionate, con possibilità di rateizzazione fino a 7 anni, previa accettazione da parte dell’ente finanziario, e una politica di prezzi chiari e “tutto incluso” per evitare sorprese.
Chirurgia Implantare
Perchè la vita senza denti fissi diventa difficile!
Ma la soluzione a questo problema è diventata semplice.
Nella maggior parte dei casi la procedura è VELOCE e, con il nostro protocollo DENTI FISSI IN 24 ORE avrai:
- Un semplice intervento che dura circa 2 ore consente di estrarre eventuali denti malati e posizionare 4 o 6 impianti.
- Dopo 24 ore ti consegno i denti FISSI.
- Dopo circa 3 mesi ti verranno consegnati i denti definitivi.
- Da qui iniziamo un’esperienza di follow up senza interruzioni, con controlli 2 volte all’anno per esserti sempre vicino.
Chirurgia Implantare
Prenota una consulenza
Scopri con noi, se sei idoneo a questo tipo di intervento
Una semplice visita di 30 minuti ci consentirà di dirti se puoi riavere il tuo sorriso con il protocollo DENTI FISSI IN 24 ORE o se la tua condizione richiede prima un aumento dell’osso e quindi una programmazione diversa, seppur sempre possibile.
TUTTI GLI ESAMI NECESSARI VERRANNO GESTITI ALL’INTERNO DELLE NOSTRE STRUTTURE, per non farti perdere tempo e renderti la vita più semplice.
Hai bisogno di un Impianto?
Prenota subito la tua visita di controllo presso la nostra Clinica a Cervignano del Friuli/Chions scrivendo via Whatsapp.
CHIRURGIA IMPLANTARE
Il sorriso prima e dopo la Chirurgia Implantare
Chirurgia Implantare
Hai delle domande su questo servizio?
Esplora tutte le risposte alle domande più frequenti sul servizio Chirurgia Implantare per avere chiarezza su ogni aspetto del trattamento.
La differenza principale tra l'impianto tradizionale e l'impianto a carico immediato risiede nei tempi di attesa per il caricamento della protesi sull'impianto stesso. L’impianto tradizionale richiede un periodo di attesa di circa 3 o 4 mesi tra l'inserimento dell'impianto e il caricamento della protesi fissa. Durante questo tempo, il paziente potrebbe avere uno spazio vuoto dove l'impianto è stato inserito. Per ovviare a questo inconveniente, si possono utilizzare protesi rimovibili che non sovraccarichino l'impianto appena posizionato.
L’impianto a carico immediate riduce significativamente i tempi di attesa. Gli impianti possono essere equipaggiati con protesi fisse provvisorie (come corone singole, ponti o arcate complete) a poche ore dall'intervento chirurgico. Questo permette ai pazienti di avere denti fissi dall'aspetto naturale già nei due giorni successivi all'intervento. Tuttavia, questa tecnica è applicabile solo a pazienti con specifiche caratteristiche, determinabili attraverso una visita di controllo e adeguati esami radiografici.
In sintesi, l'impianto a carico immediato offre il vantaggio di un recupero estetico e funzionale quasi immediato, ma non è adatto a tutti i pazienti, a differenza dell'impianto tradizionale che ha un approccio più graduale e universale.
La possibilità di ricominciare a masticare e sorridere subito dopo aver messo un impianto dentale dipende dalla tipologia di impianto scelto.
Con l'implantologia a carico immediato, è possibile tornare quasi subito alla normalità. Questa tecnica permette di applicare una protesi provvisoria fissa poche ore o giorni dopo l'inserimento dell'impianto, consentendo così di ripristinare immediatamente sia l'estetica sia la funzionalità della bocca.
Con l'impianto tradizionale, invece, è necessario attendere alcuni mesi per il processo di osteointegrazione, durante il quale l'impianto si fonde stabilmente con l'osso mandibolare. Solo dopo questo periodo l'impianto può essere "caricato" con la protesi definitiva. Durante l'attesa, si può ricorrere a protesi provvisorie mobili per sostituire i denti mancanti.
In entrambi i casi, il ritorno alla funzionalità normale, inclusa la capacità di masticare e l'estetica del sorriso, è un obiettivo primario, ma i tempi e le modalità dipendono strettamente dal tipo di procedura adottata e dalle condizioni specifiche del paziente.
L'intervento di implantologia si svolge in condizioni di totale assenza di dolore grazie all'uso dell'anestesia locale. Eventuali infiammazioni e dolori post-operatori possono essere efficacemente controllati con l'assunzione di comuni farmaci antidolorifici.
Gli impianti dentali sono realizzati in titanio biocompatibile, il che significa che non sono soggetti a rigetto da parte dell'organismo. Tuttavia, in alcuni casi, l'impianto potrebbe non osteointegrarsi correttamente, ovvero non legarsi in modo stabile all'osso. Se ciò accade, l'impianto viene rimosso e sostituito con un altro.
Una volta che l'impianto si è osteointegrato, richiede la stessa cura di un dente naturale. È fondamentale praticare una buona igiene orale, pulendo i denti dopo ogni pasto, partecipare regolarmente a visite di controllo dal dentista e evitare il fumo, che rappresenta il principale fattore di rischio per la salute degli impianti dentali.
Team
Il team clinico
Da oltre 20 anni il Dr. Paolo Carlet si occupa di interventi di impianti e grandi riabilitazioni e ha RISOLTO PIÙ DI 500 CASI di edentulia totale, restituendo i denti fissi ed il sorriso a centinaia di pazienti.
Vuoi tornare a sorridere e mangiare anche tu?


Dr. Paolo Carlet
CEO & DIRETTORE SANITARIO
TESTIMONIANZE
Le recensioni dei nostri clienti
Ho terminato da poco un trattamento durato un anno e mezzo…il lavoro svolto ha soddisfatto pienamente le mie aspettative. I locali sono puliti e il personale alla reception è molto gentile e disponibile. Sono sicura di aver finalmente trovato il mio dentista di fiducia!
La Clinica Dentale OneClinic di Cervignano del Friuli è davvero eccezionale! Il Dott. Paolo Carlet ha eseguito un intervento di chirurgia dentale con grande professionalità, garantendomi un’esperienza senza stress.
Il Dott. Carlet ha trasformato il mio sorriso. Una straordinaria attenzione all’estetica. Non avrei mai pensato di poter sorridere in questo modo. Sono grata al dottore e a tutto lo staff!
Il Dott. Paolo Carlet e il suo team sono stati eccezionali nell’implantologia. Un’esperienza senza dolore e risultati straordinari. Grazie al Dr. Paolo.
Il Dott. Paolo Carlet è un vero professionista della chirurgia dentale. L’esperienza è stata indolore e il risultato è al di là delle aspettative.
Il Dr. Carlet è stato eccezionale nella gestione di un’urgenza dentale. Competenza e calma hanno risolto la situazione in modo impeccabile.
Professionisti! Preparatissimi per ogni tipo di problematica, ogni intervento documentato con foto e relazione, certificato d’origine e di idoneità su ogni ‘pezzo’ messo in bocca. Macchinari all’avanguardia. Staff sempre gentile e preparato. Ottimo, consigliatissimo.
Ottima clinica. fatto impianto 8 anni fa va tutto benissimo. 2 volte l’anno vado a fare pulizia dei denti, la Dottoressa igienista è fantastica. Complimenti.
Devo ringraziare il Dr. Paolo e il suo team per la risoluzione tempestiva di una urgenza dentale. La loro prontezza e competenza sono state fondamentali.
E’ stato un percorso molto lungo ma grazie a tutto lo staff del dr Carlet oggi sorrido di nuovo. Sto bene e sono felice. Grazie grazie grazie
Sono stata contenta e soddisfatta del lavoro svolto da veri professionisti e gentilissimi tutti, mi sono trovata molto bene. Grazie a tutti lo staff della clinica.
Il Dott. Carlet è il mio dentista di fiducia. Non cambierò mai!
Il Dott. Paolo Carlet è il mio dentista da anni. La sua attenzione alla mia salute dentale è straordinaria, e il suo approccio gentile ha reso ogni visita piacevole.
Dr Carlet grazie. Un dentista come nessun altro. Mano delicata e una sensibilità che tocca il cuore. Consiglio la clinica perché li non sei un numero ma una persona di cui tutti si prendono buona cura.
Io ho fatto 4 impianti dentali con il dr Paolo Carlet. Grazie dottore, non ho sentito male e sono tornata a lavorare la mattina seguente senza problemi. Consigliatissimo.
KM CHE VALGONO DAVVERO LA PENA DI FARE
Ho scelto la OneClinic anche se molto distante da casa mia. Il dr Carlet ha saputo risolvere la mia paura del dentista ed ora è davvero un piacere entrare e sorridere con tutto lo staff. Professionali, gentili tutti…dottori, assistenti e segretarie. Clinica consigliatissima!
Negli ultimi 8 anni ho fatto diversi interventi, da semplici otturazioni fino ad un impianto. Ho sempre trovato puntualità professionalità igiene gentilezza trasparenza da parte di tutto lo staff. Anche le attrezzature tecniche-mediche sono altezza dell’elevato punteggio che merita la clinica.
Ho terminato da poco un trattamento durato un anno e mezzo…il lavoro svolto ha soddisfatto pienamente le mie aspettative. I locali sono puliti e il personale alla reception è molto gentile e disponibile. Sono sicura di aver finalmente trovato il mio dentista di fiducia!
Esperienza estremamente positiva. Ho fatto due estrazioni, di cui un dente del giudizio, ed un impianto. Sono stata seguita dal Dott. Carlet, che ringrazio per la professionalità e gentilezza. Ieri ho messo il nuovo dente, mi sembra di avere di nuovo il mio. Tutto il personale è molto professionale e gentile, la pulizia è molto curata, e l’intervento è stato eseguito con la massima igiene e sterilizzazione. Personalmente mi sento di consigliare questa clinica. Molto bravi.
Soffro di odontofobia, quindi sono una paziente “impegnativa”. Alla OneClinic ho trovato persone estremamente pazienti, disponibili e preparate che mi hanno accolta e curata con attenzione e super professionalità. È un ambiente sereno dove il paziente viene messo a proprio agio. Il dottore Carlet e tutti i suoi collaboratori sono persone squisite e preparate. La mia è stata un’ottima esperienza e consiglio vivamente questa clinica.
Ho avuto modo di fare tutta l’arcata dentale superiore, ottimo lavoro. Dopo circa 2 anni decido di fare anche l’arcata inferiore (non ancora terminata ma sono oramai agli sgoccioli per finire) Cosa dire? Il dottor Carlet ottimo professionista, mette a proprio agio compreso tutto il suo staff e gli addetti alla reception. Sono contento del lavoro che l’ho consigliato ad amici i quali anche loro si sono trovati super bene.
Complimentissimi al Vostro Studio dove ho trovato un’accoglienza Umana e Professionale che mai avevo trovato negli altri studi. Il mio lavoro non era di routine, anzi un lavoro non semplice eppure svolto da Voi con Serietà e per me del tutto indolore. Mi avete ridato il mio Sorriso, ma soprattutto la Masticazione che è fondamentale. Anche il preventivo è stato confermato a fine lavori, senza sorprese direi molto concorrenziale. Un Grazie immenso a tutto lo Staff, il cui “condottiero” è il Dott. Paolo Carlet gentile che ti assiste fino alla fine, preciso quasi “maniacale” attentissimo non solo alla parte medico/tecnica, ma anche all’estetica, tutto in armonia! Questo Studio lo raccomando vivamente a tutti, dai piccini ai “meno giovani” come me.































