Odontoiatria Estetica
Il sorriso prima e dopo il design del sorriso
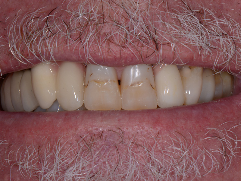
Grazie alle faccette estetiche puoi trasformare il tuo sorriso ottenendo un risultato armonioso, naturale e completamente personalizzato.
Servizi
Faccette dentali estetiche
Scansione e Smile Preview
Utilizziamo l’intelligenza artificiale e uno scanner intraorale per fornirti una simulazione digitale del tuo futuro sorriso, permettendoti di vedere il risultato atteso prima ancora di iniziare il trattamento.
Mockup provvisorio 3D
Creiamo un prototipo digitale del tuo nuovo sorriso, che potrai “provare” nella vita quotidiana. Questo passaggio è fondamentale per assicurarti che il risultato finale corrisponda alle tue aspettative, senza alcun impatto sullo smalto dei tuoi denti.
Faccette in ceramica
Le faccette definitive, realizzate in ceramica integrale, sono basate sul mockup che hai approvato. Queste faccette sono estremamente sottili, garantendo un aspetto naturale, e sono progettate per durare nel tempo, resistendo all’usura quotidiana.
Odontoiatria Estetica
Il processo per ottenere il sorriso perfetto.
soprattutto quando sorridi!
Il processo per ottenere un sorriso più armonioso attraverso l’uso di faccette dentali estetiche presso la nostra clinica segue una procedura dettagliata e attentamente pianificata, che assicura risultati ottimali e soddisfazione del paziente. Di seguito riepiloghiamo i passaggi chiave.
Primo consulto
Utilizziamo lo scanner iTero per rilevare un’impronta digitale dei tuoi denti e determinare il colore naturale della tua dentatura. Questo ci permette di valutare insieme le tonalità e le forme desiderate per il risultato finale.
Smile Preview
Grazie all’intelligenza artificiale, possiamo mostrarti una simulazione realistica del risultato finale. Questo passaggio è cruciale per apportare eventuali modifiche e miglioramenti prima di procedere con le ulteriori fasi.
Sbiancamento dentale
Prima di creare il tuo nuovo sorriso, eseguiamo uno sbiancamento dentale per uniformare la tonalità dei tuoi denti. Questo colore sarà poi utilizzato come riferimento per le tue nuove faccette. Per maggiori dettagli sullo sbiancamento dentale professionale, ti invitiamo a visitare la nostra pagina dedicata.
Mockup 3D
In base al progetto digitale, realizziamo una mascherina provvisoria. Con una tecnica a iniezione di materiale composito, creiamo un prototipo del tuo nuovo sorriso direttamente che potrai “provare” per alcune ore.
Faccette provvisorie
Ad approvazione del prototipo, prepariamo i denti rimuovendo un sottile strato di smalto esterno per accogliere le faccette definitive. Applichiamo delle faccette provvisorie, che indosserai per circa una settimana.
Faccette in ceramica
Infine, dopo le necessarie prove estetiche, cementiamo le faccette definitive realizzate in ceramica integrale. Questo materiale è scelto per la sua resistenza, durata e aspetto naturale, garantendo un risultato eccellente e duraturo.
Odontoiatria Estetica
Il sorriso prima e dopo il design del sorriso
Grazie alle faccette estetiche puoi trasformare il tuo sorriso ottenendo un risultato armonioso, naturale e completamente personalizzato.
Odontoiatria Estetica
Piani faccette Design del Sorriso
Mini
Nr. 2 Faccette
Easy
Nr. 6 Faccette
Lite
Nr. 4 Faccette
Full
Nr. 8 Faccette
Tutti i piani Design del Sorriso includono
- Sbiancamento dentale professionale (in-office o domiciliare)
- Smile Preview e progettazione del sorriso
- Mockup provvisorio in 3D
- Faccette provvisorie
- Faccette definitive in ceramica integrale
Team
Il team clinico
Il nostro team di specialisti in Odontoiatria Estetica è qui per guidarvi verso il miglior percorso di cura, con un approccio che pone al centro il vostro benessere.






















